Abstract: 8 year-old girl with a one week history of a symmetrical eruption
This patient is presented with permission from her parent.
HPI: The patient is an otherwise healthy 8 year old girl with a one week history of a mildly pruritic eruption; No antecedent illnesses. She has molluscum diagnosed in other areas a few months ago.
O/E: On May 1, 2012, she had discrete and confluent erythematous papules on both thighs and to a lesser extent on both elbows and abdomen. There was marked cervical lymphadenopathy (present, by history, for years). By May 3rd, the lesions had enlarged and coalesced into symmetrical plaques on the thighs, buttocks, and lower extremities.
Clinical Photos (May 3, 2012)
Labs: CBC, UA normal
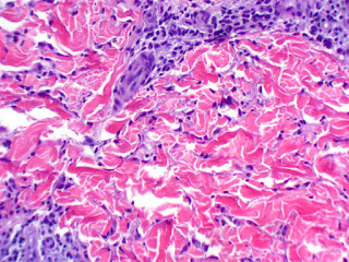
Pathology: There is a superficial and mid-perivascular and interstitial lymphocytic infiltrate with neutrophils and rare eosinophils. (Photomicrographs courtesy of Dr. Marjan Mirzabeigi, Dermatopathology, Boston University Department of Dermatology)
Diagnosis: Clinically, I considered a viral exanthem or the urticarial phase of Henoch-Schoenlein Purpura. Histologically, the suggestions were interstitial granulomatous dermatitis (IGD) or an interstitial variant of granuloma granuloma annulare.
Course: Over the course of two weeks, the lesions completely resolved. No therapy had been offered. The child remains well at this time and is at full activity.
Questions: Have you seen similar cases? What are your thoughts about "interstitial granulomatous dermatitis." It is only rarely seen.
Discussion: IGD is a relatively newly described disorder and not much is known about etiology or course. There may be short-lived variants such as this that are reactions to viral illnesses, drugs or other causes. Case reports such as this may help to define such rare disorders.
Reference:
Interstitial granulomatous dermatitis
Hillary Johnson MD PhD, Stephanie Mengden MD, Ronald R Brancaccio MD
Dermatology Online Journal 14 (5): 18 Free Full Text.
Thursday, May 24, 2012
Subscribe to:
Post Comments (Atom)












0 comments:
Post a Comment